Alcuni casi clinici seguiti dal team Magika Salute

Trattamenti odontoiatrici e trattamenti estetici

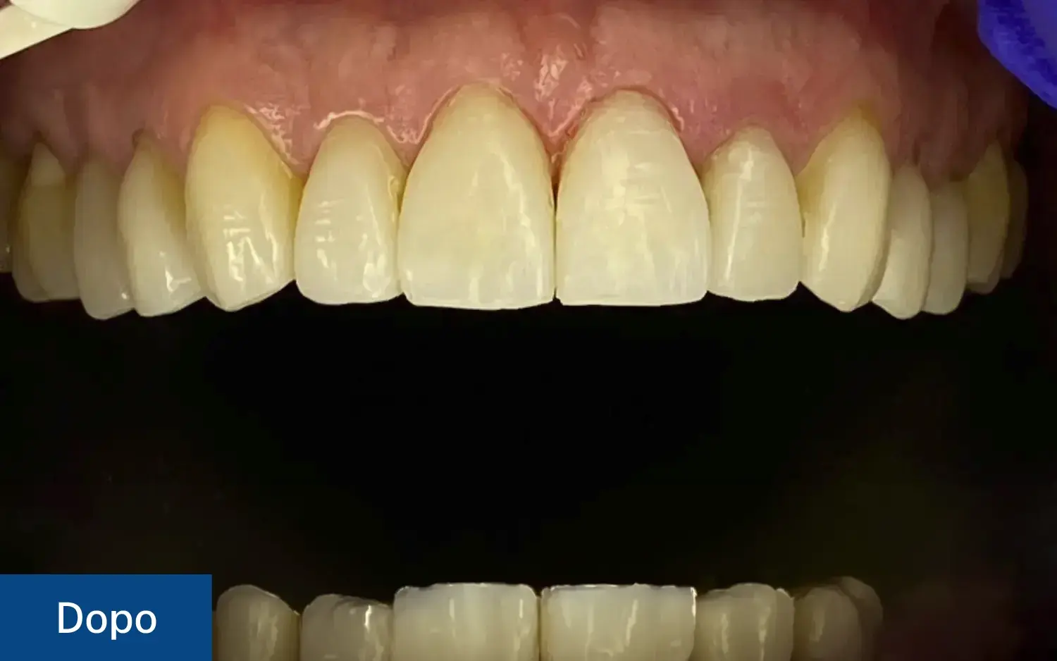
Trattamento dentale personalizzato paziente - MaGiKa Salute Samarate

Scopri i risultati reali dei nostri pazienti

Scegliere un trattamento odontoiatrico o estetico significa affidarsi a professionisti e immaginare un cambiamento.
In questa pagina puoi vedere risultati reali ottenuti presso Magika Salute.

Ogni sorriso racconta una storia diversa: c’è chi desiderava correggere piccoli difetti, chi migliorare l’estetica, chi ritrovare armonia e sicurezza.

Il nostro obiettivo non è stravolgere, ma valorizzare ciò che sei.

Faccette dentali con tecnica Injection

Migliora il sorriso con le faccette dentali, senza necessità di limatura significativa*.

La tecnica Injection è una delle innovazioni più interessanti nel panorama dei trattamenti odontoiatrici estetici.

A differenza delle faccette tradizionali, questa tecnica consente di migliorare l’estetica del sorriso senza necessità di intervenire con limature eccessive sui denti naturali*.

È indicata per:

*Il risultato varia da paziente a paziente e la tecnica è applicabile solo nei casi indicati, previa valutazione del dentista. Le immagini sono di pazienti trattati presso la struttura, che  hanno espresso il consenso alla pubblicazione.

Correzione forma denti faccette prima - MaGiKa Salute Samarate
Correzione forma denti faccette dopo - MaGiKa Salute Samarate
Caso faccette dentali prima - MaGiKa Salute Samarate
Caso faccette dentali dopo - MaGiKa Salute Samarate

Come funziona il percorso

1

Prima visita e piano di cura personalizzato

2

Mock-up estetico: ottieni una prima indicazione sul risultato che puoi ottenere, direttamente sul tuo sorriso

3

Trattamento definitivo (durata 4-5 ore a seconda degli elementi trattati)

Un percorso studiato perché tu possa decidere in modo consapevole, avendo già visto il risultato finale prima dell’esecuzione.